Skip to content

NeurologyResidents

Resources For Future Neurologists

  • Home
  • Notes and Templates
    • On-Call Templates
    • Neuro-Exam Templates
    • Text Editor
    • Stroke Unit Notes
      • AIS after tPA
      • AIS without tPA
      • TIA
      • ICH
    • Neuro-ICU Notes
      • SAH Intubated (ICU)
      • SAH not intubated (ICU)
      • ICH intubated (ICU)
      • ICH not intubated (ICU)
      • AIS after tPA/Thrombectomy
      • Ischemic stroke without tPA or intervention
      • Status Epilepticus
      • Myasthenic Crisis
    • Clinic & Regular floor Notes
      • Migraine
      • Parkinsonism
      • Dementia
      • Multiple Sclerosis
      • Seizure
      • Myasthenia
    • Procedure Notes
      • Lumbar Puncture
      • Intubation
      • Central line
      • Tensilon (edrophonium) Test
      • Joint Steroid Injection
      • Botox Injections
  • Basic Neuroscience
    • Neuro-Pharma
    • Neuro-Pathology
    • Neuro-Anatomy
  • Clinical Neurology
    • Neurological Exam
    • Epilepsy
    • Stroke & Vascular
    • Neurocritical Care
    • Neuro-Muscular
    • Child Neurology
    • Neuro-Immunology
    • Neuro-Ophthalmology
    • Neuro-Infectious
    • Neuro-Radiology
    • NeuroSonology
  • Miscellaneous
    • Mobile Apps
    • Posts
    • Neurology Lectures
    • Our Books
    • Neurology Conferences & Deadlines
    • RITE Exam
    • FlashCards
    • CME & MOC
      • Maintenance of Certification
    • Interesting Cases
      • It’s all about localization !
      • It’s not a rare disease anymore !
      • Her Eyes Were The Clue
      • A Puzzling Case
      • A Life-saving diagnosis, just by luck!
      • Neurology vs Oncology, Localization wins!
    • Interesting topics
      • tPA for patients on DOAC
      • Amyloid Spells – A brain mine
      • The Great Mimicker
      • NPH
      • Neurology Lectures
      • Planter Reflex
      • Your Guide for the RVU Farside
    • Business of Medicine
      • Billing
        • For physicians
        • For Hospitals
        • Billing Updates
      • Compensation
      • Disability Insurance
      • Malpractice Insurance
    • Interesting Books
      • Patients Biographies & Diaries
      • Physicians Biographies & Diaries
      • History of Neurology
  • Contact Us
stroke unit- ischemic stroke

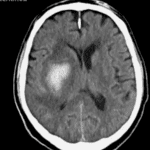
Ischemic Stroke

After tPA

Without tPA

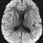
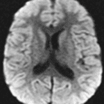
Normal DWI

TIA

Admission Template

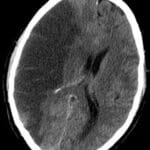
ICH

ICH

Admission Template

Search the website

Recent Posts

  • basic neuroscience, neurology lecturesNeurology Lectures
  • QBedit
  • RITE Exam
  • tPA for patients on DOAC
  • is it lymphoma?The Great Mimicker
  • A Puzzling case!
  • NeuroRadiology
  • Neurology Reference Handbook 2nd Edition
  • Amyloid Spells – A brain mine
  • Comments Section

© NeurologyResidents.Net & NeurologyResidents.Com are copyrighted. Unauthorized use and/or duplication of this material without express and written permission from this site’s author and/or owner is strictly prohibited.

Please read Disclaimer before using this website. The content on this website is for educational and informational purposes only and is not intended as medical advice or a substitute for professional diagnosis, treatment, or care. Always seek the advice of a qualified healthcare provider with any questions regarding a medical condition. Never disregard professional medical advice or delay seeking treatment based on information from this website. Content © NeurologyResidents.Net & NeurologyResidents.Com are copyrighted, contents can be used for personal purposes only without any changes. Reproduction or commercial use is not authorized. Unauthorized use and/or duplication of this material without written permission from this site’s author and/or owner (See Disclaimer) is strictly prohibited. Owner: NeuroCare Medical LLC