Neurology Reference Handbook 2nd Edition
Access here
A pocket sized handbook that covers all neurotherapeutics
NeuroRadiology Booklet
Access here
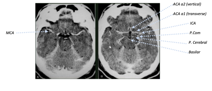
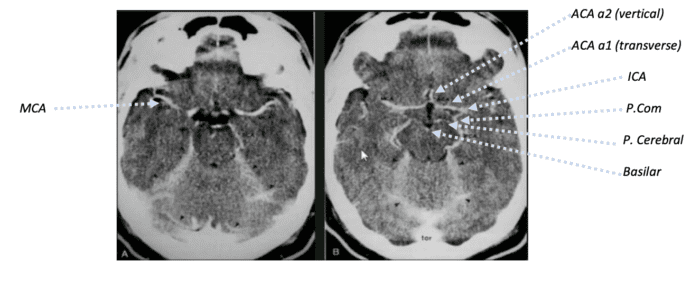
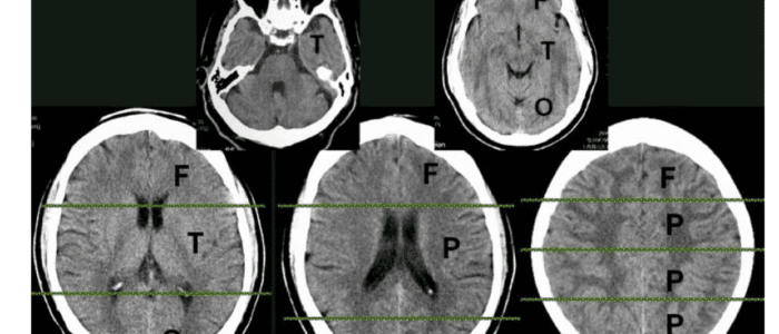
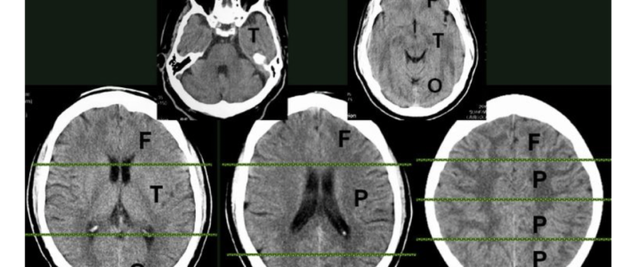
Electronic booklet aimed for medical students and neurology residents, covers the basics of neuroradiology from the scratch.

















