Welcome to the interesting world of neurology !

Since you picked neurology as your career, this means you have an analytic brain, very organized, looking always for facts and trying to connect them to reach your diagnosis.

Medical specialties are very different from each other, with neurology standing in a unique place. With the expansion of medical investigations, neurology remains as the only specialty that is still heavily reliant on detailed history taking and examination. The nervous system is broad, extending to all body parts. Symptoms can be from anywhere from the brain, spinal cord, nerve roots, peripheral nerves or muscles. So one has to localize first to target the affected location with workup and imaging studies.

Also Neurology is the largest specialty in medicine, you may remember that neuroanatomy was the largest anatomy chapter while in medical school. Disease wise, it is very versatile. While for specialties like GI, nephrology, cardiology the number of pathological disorders are usually less than a hundred, in neurology this number may reach a thousand. Moreover, disorders are very versatile, from the acute ischemic and hemorrhagic strokes, to the broad, currently expanding demyelinating disorders. From Alzheimer disease and different types of dementia to tens of diseases causing different movement disorders. From subjective symptoms as headache to the most objective neuromuscular and EMG studies.

During everyday practice, I come to see very interesting cases on daily basis. Here are some of the most interesting ones I've seen.

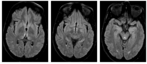
It is all about localization !

Patient was found down with left lower extremity weakness

A Puzzling Case !!

I don't know the answer for this one!

It is not a rare disease anymore!

The interesting story of the lady with rapid cognitive decline..

A Life Saving Diagnosis, Just by Luck!!

Sometimes, It is better to be lucky than smart!!

Her Eeys Had the Clue!

All you need is to look at her eyes!

Neurology vs Oncology

Localization always wins!